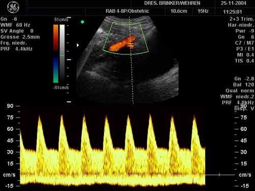
Farbcodierte Doppler-Ultraschalluntersuchung
Mit dieser technisch sehr aufwändigen Untersuchung werden die Blutströme im Körper von Mutter und Kind farblich dargestellt.
Dadurch wird es möglich, eine Minderdurchblutung des Mutterkuchens rechtzeitig zu erkennen, auch die Frühzeichen der sogenannten "Schwangerschaftsvergiftung" oder Gestose können Wochen bis Monate im voraus entdeckt und entsprechende Behandlungsmassnahmen eingeleitet werden.
Beim Kind können die Durchblutung diverser Schlagadern (Nabelschnur, Gehirn, Aorta, Niere) gemessen und Klarheit über seine Kreislaufverhältnisse gewonnen werden.
Die Beurteilung des kindlichen Herzens wird erheblich verfeinert, da die Blutströme durch das Herz in ihrer Richtung verfolgt, Herzfehler somit leichter entdeckt werden können.
Auch die Unterscheidung, ob ein auffallend kleines Kind im Mutterleib nur "zierlich" oder infolge Nährstoffmangels minderwüchsig ist, kann mit dieser Methode getroffen werden.
Sehr wichtig ist diese Untersuchung bei Mehrlingen und wird in diesen Fällen auch von den Gesetzlichen Krankenkassen übernommen.
Mit dieser technisch sehr aufwändigen Untersuchung werden die Blutströme im Körper von Mutter und Kind farblich dargestellt.
Dadurch wird es möglich, eine Minderdurchblutung des Mutterkuchens rechtzeitig zu erkennen, auch die Frühzeichen der sogenannten "Schwangerschaftsvergiftung" oder Gestose können Wochen bis Monate im voraus entdeckt und entsprechende Behandlungsmassnahmen eingeleitet werden.
Beim Kind können die Durchblutung diverser Schlagadern (Nabelschnur, Gehirn, Aorta, Niere) gemessen und Klarheit über seine Kreislaufverhältnisse gewonnen werden.
Die Beurteilung des kindlichen Herzens wird erheblich verfeinert, da die Blutströme durch das Herz in ihrer Richtung verfolgt, Herzfehler somit leichter entdeckt werden können.
Auch die Unterscheidung, ob ein auffallend kleines Kind im Mutterleib nur "zierlich" oder infolge Nährstoffmangels minderwüchsig ist, kann mit dieser Methode getroffen werden.
Sehr wichtig ist diese Untersuchung bei Mehrlingen und wird in diesen Fällen auch von den Gesetzlichen Krankenkassen übernommen.

