Ultraschalluntersuchungen in der Schwangerschaft
https://www.degum.de/fileadmin/dokumente/VS_2019-02-28_DEGUM_Stellungnahme_Neue_Strahlenschutzverordnung__final_v.2019-02-28.pdf
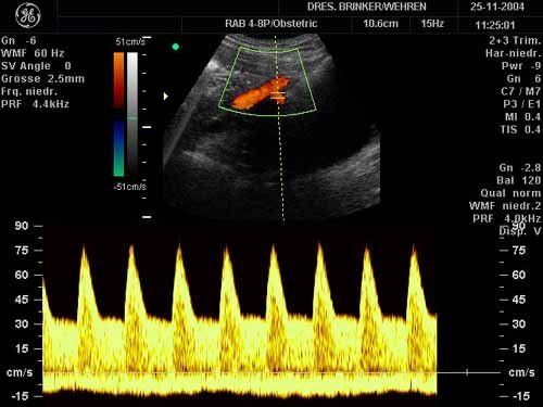
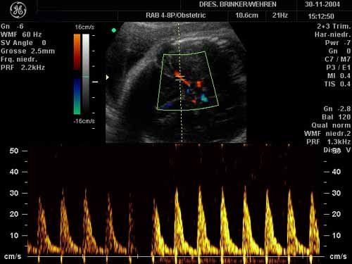
Farbcodierte Doppler-Ultraschallunterschung
Mit dieser technisch sehr aufwändigen Untersuchung werden die Blutströme im Körper von Mutter und Kind farblich dargestellt. Dadurch wird es möglich, eine Minderdurchblutung des Mutterkuchens rechtzeitig zu erkennen, auch die Frühzeichen der sogenannten "Schwangerschaftsvergiftung" oder Gestose können Wochen bis Monate im voraus entdeckt und entsprechende Behandlungsmassnahmen eingeleitet werden. Beim Kind können die Durchblutung diverser Schlagadern (Nabelschnur, Gehirn, Aorta, Niere) gemessen und Klarheit über seine Kreislaufverhältnisse gewonnen werden. Die Beurteilung des kindlichen Herzens wird erheblich verfeinert, da die Blutströme durch das Herz in ihrer Richtung verfolgt, Herzfehler somit leichter entdeckt werden können. Auch die Unterscheidung, ob ein auffallend kleines Kind im Mutterleib nur "zierlich" oder infolge Nährstoffmangels unterversorgt ist, kann mit dieser Methode getroffen werden. Die Untersuchung empfiehlt sich erstmals in der 24. Schwangerschaftswoche und kann nach einigen Wochen wiederholt werden. Die Kosten werden nur in bestimmten Fällen von den Gesetzlichen Krankenkassen übernommen.
Der Ultraschall hat die Betreuung der Schwangeren und Ihres ungeborenen Kindes fraglos revolutioniert! Mit keinem anderen Verfahren können auf derart ungefährliche und faszinierende Weise Erkenntnisse über die Entwicklung des Kindes im Mutterleib und sein "Leben vor der Geburt" gewonnen werden. Die Mutterschaftsvorsorge sieht 3 Ultraschalluntersuchungen während der Schwangerschaft als Kassenleistung vor, d.h. jeweils zwischen der 09.-12., 19.-22. und 29.-32. Schwangerschaftswoche. Weitere Ultraschalluntersuchungen des Ungeborenen sind mit medizinischer Begründung bei jedem Arzt-Termin möglich, müssen aber selbst bezahlt werden. Unser hochauflösendes Ultraschallgerät ermöglicht bestechende Eindrücke von Ihrem Kind, das sogar dreidimensional in der Bewegung dargestellt werden kann (sog. 3D/4D-Ultraschall). Bei einem solchen US "ausser der Reihe" werden Grösse und Gewicht des Babys geschätzt, die normale Entwicklung seiner Organe überprüft und das Geschlecht bestimmt. Eine weitere Begleitperson (Partner, Familienangehöriger oder Freund) kann dabei anwesend sein. Eine Aufzeichnung auf Video-DVD (DVD RW+) oder USB 3.0-Stick ist möglich.
Zu der ab 1.1.21 geltenden Beschränkung von US-Untersuchungen verweisen wir auf die Stellungnahme der DEGUM
(Deutsche Gesellschaft für Ultraschallmedizin):https://www.degum.de/fileadmin/dokumente/VS_2019-02-28_DEGUM_Stellungnahme_Neue_Strahlenschutzverordnung__final_v.2019-02-28.pdf
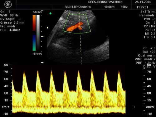
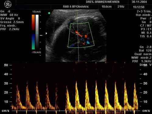
Farbcodierte Doppler-Ultraschallunterschung
Mit dieser technisch sehr aufwändigen Untersuchung werden die Blutströme im Körper von Mutter und Kind farblich dargestellt. Dadurch wird es möglich, eine Minderdurchblutung des Mutterkuchens rechtzeitig zu erkennen, auch die Frühzeichen der sogenannten "Schwangerschaftsvergiftung" oder Gestose können Wochen bis Monate im voraus entdeckt und entsprechende Behandlungsmassnahmen eingeleitet werden. Beim Kind können die Durchblutung diverser Schlagadern (Nabelschnur, Gehirn, Aorta, Niere) gemessen und Klarheit über seine Kreislaufverhältnisse gewonnen werden. Die Beurteilung des kindlichen Herzens wird erheblich verfeinert, da die Blutströme durch das Herz in ihrer Richtung verfolgt, Herzfehler somit leichter entdeckt werden können. Auch die Unterscheidung, ob ein auffallend kleines Kind im Mutterleib nur "zierlich" oder infolge Nährstoffmangels unterversorgt ist, kann mit dieser Methode getroffen werden. Die Untersuchung empfiehlt sich erstmals in der 24. Schwangerschaftswoche und kann nach einigen Wochen wiederholt werden. Die Kosten werden nur in bestimmten Fällen von den Gesetzlichen Krankenkassen übernommen.

Darstellung der Blutversorgung der Gebärmutter

Darstellung der Blutversorgung des kindlichen Gehirns
Messung der Nackenfalte (-transparenz) und Ersttrimester-Screening
In der 13. Schwangerschaftswoche kann per Ultraschall kontrolliert werden, ob das Kind eine blasenartige Auftreibung am Nacken aufweist (Nackentransparenz, Nackenödem). In diesem Falle besteht ein höheres Risiko, daß das Kind eine Chromosomenstörung hat, z.B. einen „Mongolismus“ (Trisomie 21, Down-Syndrom). Diese Blase kann nur in einem kurzen Zeitraum nachgewiesen werden, da sie auch im Falle einer Erkrankung nach wenigen Wochen verschwindet. Kombiniert man die Ultraschalldarstellung noch mit zwei Blutuntersuchungen in der 13. SSW (Ersttrimester-Screening), so kann man ein erhöhtes Risiko für Chromosomenstörungen erkennen und weiterführende Untersuchungen veranlassen. >> weitere Informationen
